
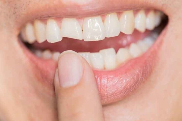
An unforeseen consequence of the pandemic in 2020 is that more people suffered from cracked or chipped teeth. Dentists saw a 53.4% rise in chipped teeth. Whatever the reason for your chipped tooth, it’s a traumatic and stressful experience.
Thankfully, a chipped tooth is fixable; you just need to go to a dentist. They can help you restore your tooth and smile again.
Learn what to do when you chip your tooth and be ready if it ever happens to you.
What to Do When You Chip Your Tooth
When you chip or break a tooth, the first thing you should do is rinse your mouth out with warm water. This cleans the tooth and your mouth of any dirt or tooth chip fragments. If you find the chipped-out piece, wrap it in wet gauze and bring it with you when you go to the dentist.
To help prevent greater dental problems, apply pressure to stop bleeding and a cold compress to keep the swelling down. If your tooth isn’t bleeding but has a jagged edge, you can apply some dental wax to keep your tooth from cutting your tongue, cheek, or lips until you get to the dentist.
Go to a Dentist
Even if the chip is minor and you feel no pain, you should see a dentist as soon as possible. Dentists have more experience caring for your teeth and can identify problems that you won’t see. For example, micro-fractures could severely weaken the tooth’s overall structure, making it susceptible to infection.
Your dentist will talk to you about possible repairs and how it works to restore your tooth.
Temporary Repair Kits
Your local drug store has temporary tooth repair kits. While these kits are an effective solution for the short term, they are not a long-term solution. These kits typically have wax, temporary molding materials, and a pain reliever.
Possible Treatments
No two teeth are the same, and chips can range in size and severity. Because of this, dentists use a range of treatments to restore chipped teeth.
Small chips that are mainly surface level could call for a filling. This is a similar process as when dentists repair a cavity. A dental crown is a cap that goes over the entire tooth. These are ideal when the chipped piece is larger and too big for a filling.
If a chip damages the dental pulp inside the tooth, you may need a root canal. This cleans out the infected root before putting a crown over the tooth.
When chips are readily visible on a front tooth, dentists will sometimes use a veneer. This is a thin porcelain layer covering the entire tooth’s front.
Fix the Chip and Save Your Smile
Now that you know what to do when you chip your tooth, you can stay calm and collected should you ever chip one of your teeth. The key is to act quickly post chipping. Rinse your mouth, collect the chip, and make an appointment with your dentist. Be ready for dental emergencies by reading our other health articles.










